Clinique Dr Breier "Implant-en-Hongrie" : avis authentiques de patients
ChaudAVIS DES UTILISATEURS
Tous les avis sont vérifiés
Tous les avis publiés ont été vérifiés, ils sont authentiques, écrits par les patients des cliniques.
Découvrez comment Kelclinic procède pour vérifier la véracité des témoignages de patients.
Soins dentaires (facultatif)
- implant
- prothese-dentaire
Soins dentaires (facultatif)
Soins dentaires (facultatif)
- bridge
- extraction-de-dents
- implant
Soins dentaires (facultatif)
- bridge
- dévitalisation-de-dents
- extraction-de-dents
- greffe-osseuse
- implant
- prothese-dentaire
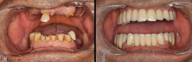
Si, de prime abord, l'accueil hongrois était un peu froid (en février 2018), les soins administrés par le Dr. Breier se sont très vite avérés d'un professionnalisme exemplaire. À aucun moment, je n'ai eu des doutes sur ses compétences et son expérience acquise des décennies durant. Un travail d'orfèvre ! Dr. Breier, permettez-moi de vous faire part de toute ma reconnaissance et de mon admiration!
J'ai aujourd'hui huit implants parfaitement installés, qui me donnent l'envie de croquer une nouvelle vie. Merci à toute l'équipe du Dr. Breir! Et gardez mon dossier. Je reviendrai, sans hésiter un seul instant, pour d'autres soins !
Francis Piccand
Soins dentaires (facultatif)
- extraction-de-dents
- greffe-osseuse
- implant
Je reviens de mon troisième et dernier séjour. Mon aventure a commencé en avril 2018 . Je ne connaissais rien du tourisme dentaire.
Soins dentaires (facultatif)
- bridge
- extraction-de-dents
- greffe-osseuse
- implant
- prothese-dentaire
La 1ière fois, j'étais terrorisée par la perspective des soins. Clément , l'assistant dentaire français du
Dr Brieir, a fait preuve d'une grande compréhension et patience pour me rassurer et surtout répondre
à toutes mes questions.
l'efficacité des soins du Dr Brieir, a été remarquable au dela de mes espérances. D'une grande précision
et rapidité, sans aucune douleur, je suis repartie totalement satisfaite après la pose de 3 bridges.
Je précise également, l'économie réalisée, par rapport au coût des soins en France.
N'hésitez plus, vous ne pourrez qu'être satisfait de ces voyages dentaires à Budapest.
Soins dentaires (facultatif)
Trier par :

Évidemment, une telle intervention n'est pas sans conséquence et chacune d'entre elle est prévue et tout est mis en place pour les limiter. Deux jours plus tard je ressemble à un hamster bleu...mais pratiquement aucune douleur, plus une gène. Et pas de dent!!! Je me terre dans ma chambre... Mais non, j'assume ! Le mercredi soir, le docteur Breier me pose ma prothèse provisoire fixe. Le bonheur ! Verdicts des copines...nickel! Toujours aussi belle ( je plaisante). La première étape se termine. Rendez vous en mai pour la prothèse définitive avec toujours des bonnes copines et peut être le plaisir de revoir Nano, un autre patient français avec qui nous avons sympathisées. Je ne remercierais jamais assez sylvain pour sa bienveillance et son professionnalisme. Quant au docteur breier, je le retrouve avec plaisir pour la suite des opérations et cette fois sans inquiétude aucune, c'est un as de l'implant.
Je vais laisser mon numéro pour celles ou ceux qui, comme moi il y a quelques mois, ne savent pas trop quoi penser de l'implantologie à l'étranger car mon récit est bien sûr une synthèse de tout ce qui s'est passé.
Françoise 06 77 96 73 93.
Soins dentaires (facultatif)
- extraction-de-dents
- implant
Un coordinateur français, Clément toujours disponible qui nous prend en charge du début
à la fin . Nous sommes conquis par cette clinique et l’ensemble du personnel.
Soins dentaires (facultatif)
- blanchiment
- couronne
Soins dentaires (facultatif)
- greffe-osseuse
- prothese-dentaire
Vous projetez de faire poser votre implant en Hongrie ?
En France, les implants et les prothèses dentaires coûtent chers : comptez entre 450 et 600 euros pour la pose d’un pilier prothétique à Paris, et jusqu’à 1500 euros pour celle d’un implant dentaire. Des chiffres en moyenne deux à trois fois plus élevés qu’à Budapest. Avec des prix défiant toute concurrence, la Hongrie est donc un Eldorado pour les Français en mal de soins dentaires. Vous envisagez de vous faire poser un implant en Hongrie ? Voici ce que vous devez savoir avant de concrétiser ce projet.
Besoin de nouvelles couronnes ? Kelclinic vous aide à réaliser vos implants en Hongrie
Des implants dentaires en Hongrie à des prix avantageux
De tous les domaines de la dentisterie, l’implantologie dentaire est celui qui affiche les tarifs les plus élevés. D’autant qu’en France, le traitement par implant en remplacement d’une dent tombée ou malade n’est pas remboursé par l’assurance maladie. C’est pourquoi les dentistes à Budapest attirent tellement les Français. Chaque année, ceux-ci sont plusieurs milliers à faire réaliser leurs implants dentaires en Hongrie. Comment expliquer cette explosion des inscriptions de patients français pour des interventions chirurgicales de pose d’implants à Budapest ?
Évidemment, le coût ultra-compétitif des implants dentaires en Hongrie est la première raison pour laquelle les dentistes budapestois ont tant la cote en France. Malgré la douleur, le prix d’une prothèse dentaire complète en France, qui peut monter jusqu’à 2500 euros par mâchoire, a en effet de quoi décourager plus d’un habitant de l’Hexagone, qui préférera faire poser ses implants en Hongrie. Dans ce pays où le niveau de vie est bien moins élevé qu’en Europe de l’Ouest, vous pouvez en effet espérer économiser jusqu’à 70% sur votre intervention chirurgicale dentaire par rapport aux tarifs pratiqués en France.
Des dentistes hongrois hautement qualifiés
Mais la santé du porte-monnaie des Français n’est pas l’unique raison de leur engouement pour les chirurgiens-dentistes hongrois. Car en faisant réaliser leurs implants en Hongrie, ils savent que le travail des dentistes de ce pays sera irréprochable. Alors, Budapest, capitale de la dentisterie en Europe ? Oui, absolument. Forte de ses universités dentaires prestigieuses et de ses cliniques reconnues pour la qualité de leur soin, cela fait même plus d’un quart de siècle qu’elle excelle dans le domaine. Il n’y a qu’à regarder le taux de satisfaction des patients pour se convaincre de la qualité de la mise en place de prothèses dentaires fixes et d’implants à Budapest. En effet, plus de neuf patients européens sur dix venus en Hongrie recommandent cette destination pour y recevoir des soins dentaires.
D’ailleurs, le CNSE (Centre national de soins à l’étranger) affirme lui-même ne disposer d’aucun élément susceptible de remettre en question la qualité des soins dentaires dispensés en Hongrie. En outre, les dentistes à Budapest sont très souvent spécialisés, et les centres dentaires hongrois généralement réputés pour leur bonne organisation. L’accent est mis sur le travail d’équipe et la mutualisation des investissements. Les cliniques sont pour la plupart équipées des technologies les plus avancées, ce qui concourt bien évidemment à la pratique d’une dentisterie de pointe. Enfin, il faut souligner l’efficacité des services après-vente et de suivi post-opératoire de ces cliniques. Un réel atout qui n’a fait que renforcer année après année l’image positive que les Français se font de la dentisterie hongroise.
Votre implant en titane pour deux allers-retours en avion à Budapest : ça vaut le coup
En dentisterie, un système implantaire est composé de trois parties. La première de ces parties est l’implant proprement dit qui joue le rôle de racine artificielle. Celui-ci prend la forme d’une vis que le chirurgien-dentiste place à l’intérieur de l’os alvéolaire (l’os de la mâchoire). Afin d’éviter que le corps ne le rejette, cet implant est fait en matériau biocompatible : titane, zircone ou polymère. Une fois fixé, l’implant peut ensuite accueillir un pilier prothétique. Il s’agit d’une petite pièce en titane qui sert de liaison entre l’implant et la couronne de remplacement. L’implant et le pilier constituent donc un point d’ancrage pour une prothèse fixe (couronne artificielle unique ou bridge-pont en remplacement de plusieurs dents) ou amovible (appareil dentaire).
Les avantages de l’implant ? Il est plus discret qu’une simple prothèse amovible. Il n’entraîne pas de modification des dents adjacentes. Les dents artificielles sont stables et offrent un grand confort de mastication. Aussi le patient ne sera-t-il pas contraint de modifier ses habitudes alimentaires. Surtout, il est rare qu’un implant doive être remplacé. Il constitue donc une solution fiable et un bon investissement sur le long terme malgré son coût initial important.
Si vous souhaitez réaliser une greffe osseuse ou un implant à Budapest, vous bénéficierez d’implants de qualité, mais sachez néanmoins que ceux-ci ne seront pas pris en charge par votre assurance maladie. Aux yeux de la Sécurité Sociale, la pose d’implant est en effet considérée comme un acte médical « hors nomenclature » qui ne peut de ce fait donner lieu à aucun remboursement. C’est d’ailleurs la raison pour laquelle les tarifs des praticiens français, libres de fixer leurs prix, peuvent varier du simple au double.
Le remboursement des soins dentaires en Hongrie : comment ça marche ?
Cependant, la mise en place des prothèses qui accompagne l’implant est partiellement prise en charge par la Sécurité sociale. Si par exemple votre mâchoire supérieure nécessite un implant bridge, la pose de la prothèse bridge pourra être en partie prise en charge dans ce soin dentaire. En revanche, votre assurance maladie ne remboursera ni les soins, ni les actes relatifs à l’installation de l’implant. Quant aux mutuelles santé, elles prendront généralement en charge tout ou partie des prestations effectuées à l'étranger selon les mêmes règles qui s'appliquent à la Sécurité sociale.
Avant de partir, vous n'êtes pas tenu de demander une autorisation de soin dentaire à l'étranger auprès de la Sécurité sociale puisque la Hongrie se situe à l'intérieur de l'espace économique européen. Toutefois, il sera judicieux avant votre départ de soumettre un devis à votre mutuelle pour savoir avec précision le montant qu'elle sera en mesure de rembourser pour vos soins. Le tiers payant n'étant pas encore possible en Europe, sachez aussi qu'il vous faudra avancer la totalité des frais.
Pour prétendre au remboursement de vos soins dentaires, vous devrez produire les pièces suivantes : votre formulaire de soin S3125 dûment complété, les radios panoramiques dentaires avant et après opération, une photocopie de votre dernier bulletin de salaire, les documents justifiant de votre séjour en Hongrie, les factures originales acquittées relatives aux actes dentaires ainsi que les numéros des dents traitées et leur montant respectif. N’oubliez pas de conserver une copie de votre dossier avant de le remettre. Il faut attendre quelques semaines entre le dépôt du dossier et le remboursement de vos soins par la Sécurité sociale et la mutuelle santé.
De plus, il faut savoir que la procédure de mise en place d’un implant dentaire se déroule toujours en deux temps. Lors d’une première opération, le praticien insère l’implant dans l’os de la mâchoire. Un délai de trois mois est ensuite nécessaire à la cicatrisation. C’est la phase d’ostéo-intégration. À l’issue de cette période, le dentiste pourra procéder à la seconde opération. Il s’agit alors de visser le pilier à l’intérieur de l’implant et de prendre une empreinte pour fabriquer la prothèse qui sera finalement fixée sur le pilier.
Par conséquent, si vous souhaitez recourir à un implant dentaire en Hongrie, il faut prévoir deux vols allers et retours. En choisissant Air France, vos deux billets A/R devraient vous coûter aux alentours de 300 euros. Mais vous pouvez aussi opter pour des compagnies low-cost (compter 100 euros vos deux billets A/R chez EasyJet ou RyanAir). Quoi qu’il en soit, vous restez largement gagnant au regard des prix pratiqués par les cliniques dentaires françaises, et ce même dans le cas où vous devriez retourner en Hongrie ultérieurement pour des soins complémentaires.
Kelclinic vous aide à faire les bons choix pour votre implant dentaire en Hongrie
Oui, mais s’il m’arrive un problème sur place ? Et si je ne parviens pas à me faire comprendre ? Quid de la barrière de la langue ? Cette appréhension est fréquente. Néanmoins, rassurez-vous : votre dentiste à Budapest maîtrisera le français. Il aura d’ailleurs très probablement fait ses études en France. Les subtilités de la langue de Molière n’auront donc pas de secret pour lui.
Par ailleurs, soyons clairs : la règlementation européenne est strictement la même pour un dentiste en Hongrie et un dentiste en France. En d’autres termes, les contrôles sanitaires et les normes d’hygiène sont identiques d’un pays à l’autre. Mieux, en Hongrie chaque dossier médical est soumis à un contrôle systématique par les autorités. Vous pouvez donc réaliser la pose de votre bridge à Budapest en toute sérénité.
Cependant, il reste difficile de faire son choix parmi les centaines de cliniques dentaires que compte la capitale hongroise. Il convient aussi de différencier les cabinets de dentistes généralistes des cliniques dentaires spécialisées qui proposent des soins dentaires haut de gamme. Ce sont vers ces dernières que vous devez vous tourner. Certes, les prestations qu’elles proposent seront plus chères que celles d’un petit cabinet dentaire en province, mais elles seront aussi plus sûres et de meilleure qualité.
Heureusement, Kelclinic vous facilite la tâche en sélectionnant pour vous les meilleures cliniques dentaires pour un séjour en Hongrie sans douleur. Vous souhaitez vous faire poser un implant Alpha-Bio au meilleur prix ? En vous inscrivant sur notre site, vous êtes sûr de recevoir un traitement implantaire de haute qualité. Parce que votre santé est au cœur de nos préoccupations, nous négocions pour vous les meilleures solutions et au prix les plus avantageux pour votre projet d’implant dentaire en Hongrie.
Communiquez-nous les soins dont vous avez besoin. Nous vous transmettrons les devis les plus intéressants pour vous. Vous obtiendrez ainsi rapidement toutes les informations-clés pour votre voyage : les meilleures cliniques dentaires en Hongrie, les postes des dentistes hongrois les mieux à même de vous soigner, les dates envisageables pour votre voyage, le montant négocié du remboursement de vos billets d’avion et de vos nuitées, etc. Enfin, notre vigilance est extrême concernant les compétences des implantologues que nous vous recommandons. Soyez certains que nous nous assurons de leur haut niveau de qualification autant que de la conformité de leur pratique avec les règlementations européennes en vigueur.
Avis vérifiés
Tous les avis publiés ont été vérifiés, ils sont authentiques, écrits par les patients des cliniques.
Découvrez comment Kelclinic procède pour vérifier la véracité des témoignages de patients.